
Aujourd’hui, de nombreux adultes choisissent de suivre un traitement orthodontique pour améliorer l’esthétique de leur sourire ou corriger des problèmes fonctionnels.
Bien que les dents puissent encore être déplacées à l’âge adulte, le processus est souvent plus lent en raison de la maturité de la mâchoire et des gencives.
Un bilan bucco-dentaire préalable auprès de votre chirurgien-dentiste est préférable pour s’assurer de la bonne santé de vos gencives, de vos dents et de votre os.
Particularités chez l’adulte
Contrairement aux enfants, les adultes ne bénéficient plus de potentiel de croissance, aussi dans certains cas, une intervention chirurgicale au niveau des mâchoires peut être nécessaire.
De plus, le déplacement des dents chez l’adulte doit être réalisé avec des forces plus douces, ce qui peut rallonger la durée du traitement.

Options de traitement
Les adultes ont le choix entre plusieurs types d’appareils selon leurs besoins et leurs préférences :
- Appareil multi-attaches métallique : des bagues métalliques sont collées sur la face externe des dents et reliées par un fil à mémoire de forme.
- Appareil multi-attaches céramique: il s’agit d’une option plus discrète, avec des bagues transparentes.
- Gouttières d’alignement : des gouttières transparentes et amovibles, sont réalisées sur mesure pour le patient.
Elles sont changées toutes les semaines et offrent une solution plus confortable et discrète.
Toutefois, elles ne conviennent pas à tous les cas.
Durée du traitement
Les traitements orthodontiques pour adultes peuvent durer entre 9 et 24 mois, selon la complexité du cas.
Dans certains cas, une simple correction d’alignement prend moins d’un an, tandis que des traitements plus complexes peuvent nécessiter un suivi plus long.


Et Après ?
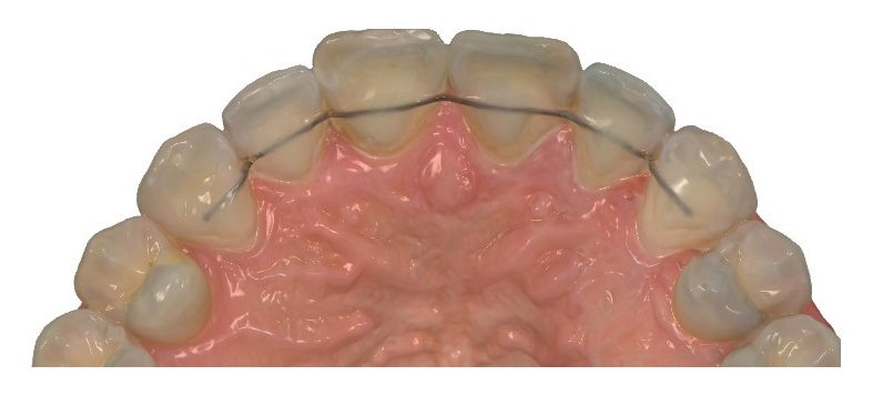
Quel que soit le traitement orthodontique effectué, une phase de contention est indispensable pour maintenir ses résultats dans le temps.
Il s’agit de fils collés sur la face interne des dents, associés ou non à une gouttière nocturne.
Coût
Aucune prise en charge n’est assurée par la sécurité sociale. Seule votre mutuelle pourra intervenir dans votre remboursement.

Cabinet d’Orthodontie Les Muzes




